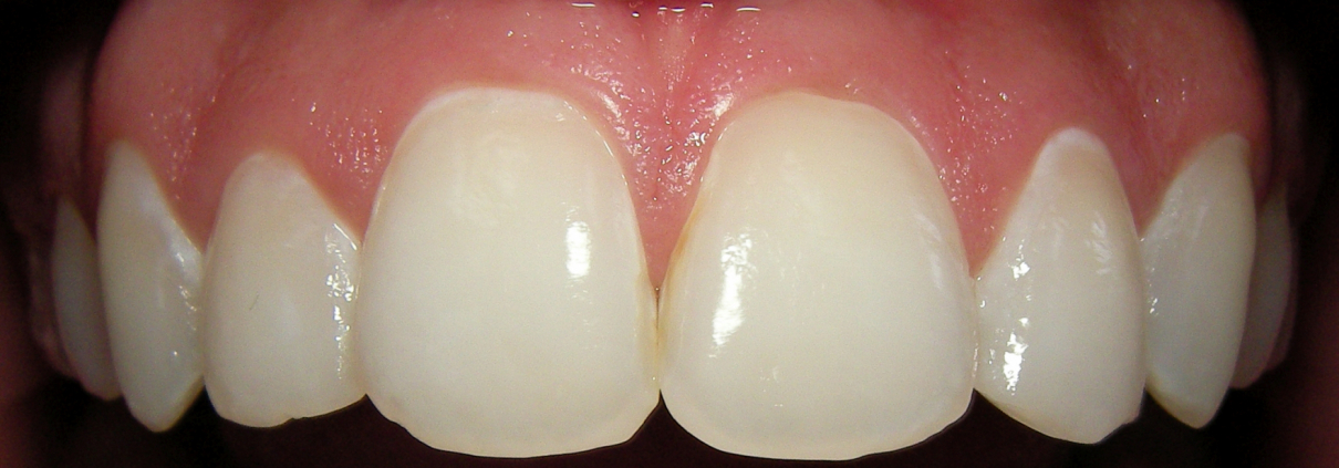
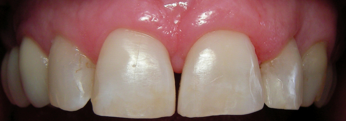
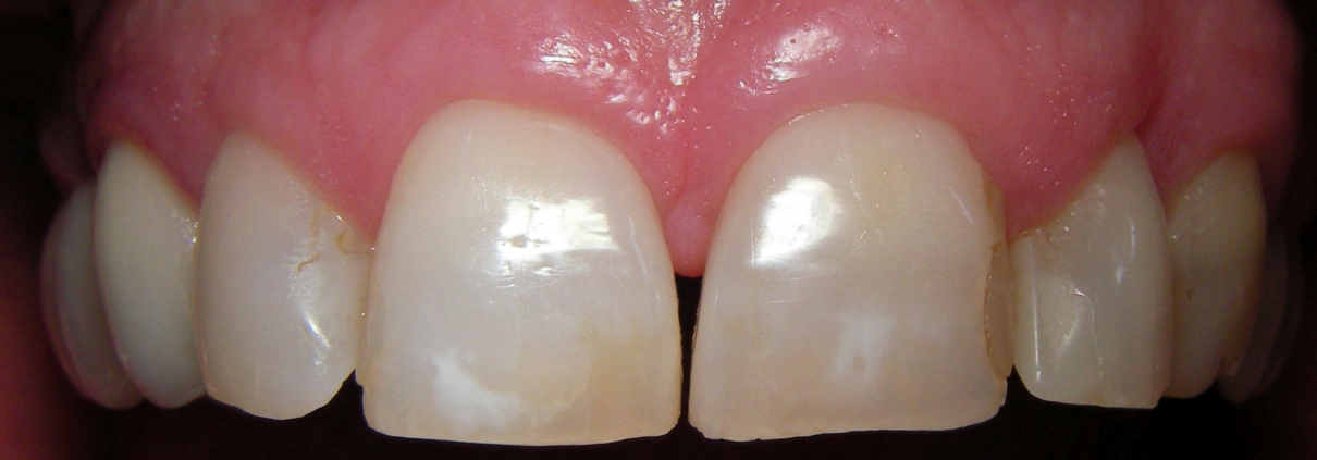
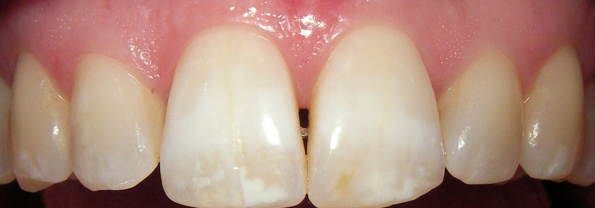
Haben auch Sie weiße Flecken oder Linien auf Ihren Zähnen, von denen Sie nicht wissen, woher diese kommen? Es handelt sich um sogenannte White spots, die vor allem im Frontzahnbereich sehr auffallen.
Bisher konnten die Flecken nur durch invasive Behandlungen (Füllungen/Veneers/Teilkronen) beseitigt werden. Diese Versorgungen gehen mit einem deutlichen Zahnsubstanzverlust einher und sind recht hochpreisig.
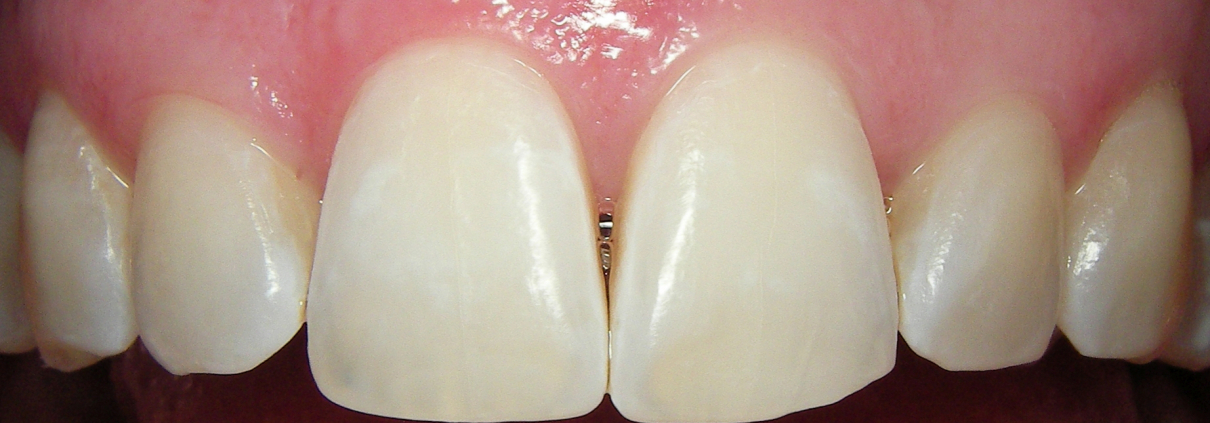
Jetzt haben wir eine sehr schonende und wesentlich preisgünstigere Lösung. Sie heißt ICON-Infiltration.
Doch zunächst – wie kommt es zu diesen auffallenden Flecken?
Eine Ursache für die White spots ist die sogenannte Fluorose, eine Überversorgung des Zahns mit Fluorid während der Zahnbildung im Kindesalter, die zu einer Zahnschmelzveränderung führt.
Als Folge kommt es dann zu den unerwünschten weißen Flecken.
Eine weitere, häufige Ursache sind die Spätfolgen einer kieferorthopädischen Behandlung mit Brackets. Da Brackets die Sauberhaltung der Zähne stark beeinträchtigen, löst die sich dort bildende Plaque (Zahnbelag) eine Entmineralisierung des Zahnschmelzes aus.
Dass die Schmelzveränderungen überhaupt so weißlich auffallen, ist ein physikalisches Phänomen: bedingt durch die Luft- und Wassereinschlüsse im hier porösen Zahnschmelz kommt es zu einer veränderten Lichtbrechung. Die natürliche Zahnoberfläche erscheint auf einmal stellenweise rein weiß und wirkt damit unnatürlich verfärbt.
Wie wirkt die Infiltrationsbehandlung mit ICON?
Das Verfahren, einfach erklärt, funktioniert so:
Nach einer professionellen Zahnreinigung, und ggfs. einem Bleaching, werden die betroffenen Zähne gegen den Zutritt von Speichel gesichert.
Nun wird die Zahnoberfläche chemisch mit einer speziellen Säure geöffnet und die porösen Stellen werden freigelegt. Das ist vollkommen schmerzfrei.
Anschließend wird der Infiltrations-Kunststoff ICON appliziert. Er dringt in die feinen Hohlräume ein, wird dann ausgehärtet und versiegelt die Porositäten hermetisch.
Die Behandlung dauert ca. 1 Stunde, in Abhängigkeit von der Tiefe der Schmelzveränderungen.
Sehen Sie sich dazu hier auch die beiden Videos an.




