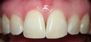
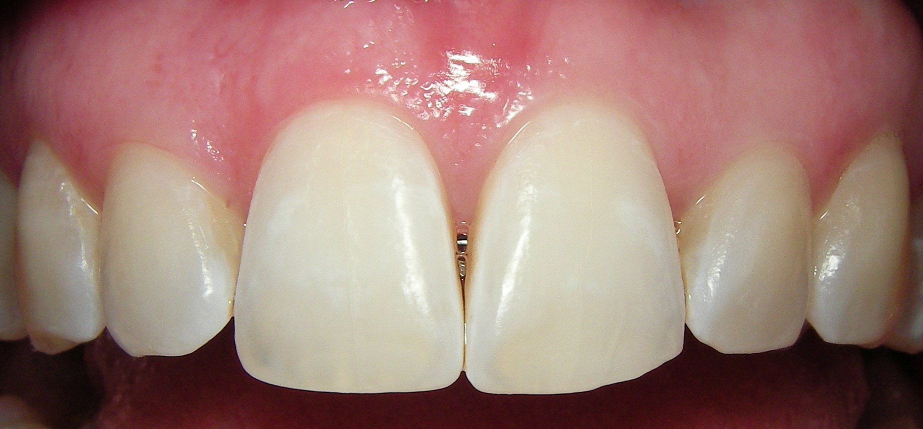
Zähne nach ICON Behandlung ohne weiße Flecken
Kontakt
Hager Zahnmedizin
Andreas Hager
Freier-Grund-Straße 8
57299 Burbach
Tel: 0 27 36 - 55 20
Fax: 0 27 36 - 5 73 26
zahnarzt@andreashager.de
Praxisöffnungszeiten
| Mo | 08.00-12.00 | 14.00-18.00 |
| Di | 08.00-12.00 | 14.00-19.00 |
| Mi | 08.00-15.00 | |
| Do | 08.00-12.00 | 14.00-19.00 |
| Fr | geschlossen |
So finden Sie zu uns

Klick aufs Bild öffnet Google Maps
Dabei werden personenbezogene Daten übertragen. Mehr Infos auf der Seite: Datenschutz
Neueste Beiträge
- Zahngesundheit in den Wechseljahren 20. April 2026
- Zahnersatz. Welcher ist der beste? 26. Februar 2026
- Wurzelbehandlung – die häufigsten Fragen verständlich erklärt 15. Dezember 2025
