Bleaching – wann ist es sinnvoll, die Zähne aufzuhellen?
Weiße Zähne sind für viele Menschen ein absolut erstrebenswertes Ziel. Was sie dabei übersehen – rein weiße Zähne gibt es von Natur aus beim Menschen eher nicht.
Jedes Lächeln wird lebendiger durch kleine, individuelle Farbunterschiede der Zähne untereinander, die beim Betrachter einen plastischen Eindruck entstehen lassen. Rein weiße Zähne wirken dagegen oft leblos, unnatürlich und flach. Leider sieht man immer wieder künstliche Zahnkronen, die so angefertigt wurden.
Wenn man die Frontzähne in Bezug auf die Farbe genauer betrachtet, wirken die oberen mittleren Schneidezähne im naturgesunden Gebiss klar erkennbar am hellsten. Dagegen haben die Eckzähne eine gelblichere Tönung und eine höhere Farbsättigung. Sie wirken dadurch erheblich dunkler als ihre Nachbarzähne.
Auch innerhalb der einzelnen Zahnkronen sind verschiedene Helligkeiten zu beobachten. Diese werden durch die unterschiedlichen Stärken des Zahn-Schmelz-Mantels von 0,3 mm am Übergang zur Zahnwurzel bis hin zu 1 mm im Bereich der Kauflächen und Schneidekanten hervorgerufen.
Somit scheint das Zahnbein (Dentin), das eine höhere Farbsättigung besitzt als der Schmelz, unterschiedlich stark von innen durch den Schmelz hindurch und gibt dem Zahn damit seinen typischen Charakter.
Tatsächlich haben wir Menschen recht unterschiedliche Zahnfarben, die von gelblich über bräunlich bis gräulich reichen und auch die empfundene Helligkeit der Zähne kann stark unterschiedlich sein. So ist es oft verständlich, wenn der Wunsch nach „helleren“ Zähnen an uns herangetragen wird.
Nun gibt es verschiedene Möglichkeiten, die Zähne individuell aufzuhellen. Diese Methoden werden unter den Begriffen Bleaching, Bleichen oder eben Zahnaufhellung zusammengefasst.
Welche Formen des Bleachings wir anwenden, wie groß die Veränderungen sind und wann wir zu einer Zahnaufhellung raten, erfahren Sie hier.
Methoden des Bleachings
Wir unterscheiden beim Bleaching zunächst zwischen „internen“ (inneren) und „externen“ (äußeren) Bleichverfahren.
- Internes Walking Bleaching,
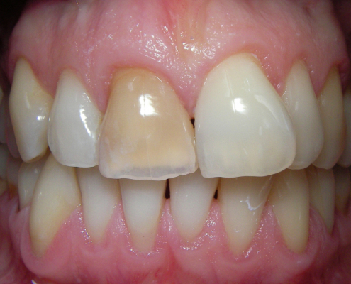
auch walking bleach-Methode oder internes Bleaching genannt. Hierbei handelt es sich um ein Verfahren zur Aufhellung eines einzelnen verfärbten und dunkel gewordenen Zahnes. Dieser hat entweder bereits eine Wurzelkanalfüllung bekommen oder das Zahnmark ist aufgrund einer Wurzelerkrankung abgestorben.
Durch die bakterielle Zersetzung von Gewebe- und Blutresten entstehen farbintensive Stoffe, die vom Zahnmark aus in die feinen Dentinkanälchen gelangen.
Diese schimmern von innen durch das Dentin und der Zahn wirkt dadurch erheblich dunkler als seine Nachbarn.
Besonders im Frontzahnbereich ist das für viele Betroffene störend und sie wünschen Abhilfe. Beim internen Bleaching wird dann ein Bleichmittel für einige Tage in den Zahn eingebracht. Unter luftdichtem Verschluss kann dieses Bleichmittel seine Wirkung bis zum gewünschten Aufhellungsergebnis entfalten.
Die Wirkung ist ähnlich wie beim Haarefärben, denn der Bleichvorgang beruht auch hier auf der Wirkung von Wasserstoffperoxid. Dieses ist ein starker Radikalbildner, der die störenden Farbstoffe in farblose Reaktionsprodukte umwandelt.
Welche Voraussetzungen müssen für ein internes Bleaching gegeben sein?
Das interne Bleaching ist ausschließlich für marktote Zähne geeignet. Der Zahn muss unbedingt mit einer möglichst perfekten Wurzelkanal-Behandlung versorgt worden sein, damit keine Entzündungen um die Wurzelspitze herum entstehen. Gegebenenfalls muss eine unzureichende Wurzelfüllung vor dem Bleichen des Zahnes angefertigt bzw. erneuert und verbessert werden.
Weiterhin sollte der Zahn an den sichtbaren Flächen möglichst keine, oder maximal eher kleine Füllungen bekommen haben und die vorhandenen Füllungen müssen randdicht sein.
Warum? Füllungsmaterialien werden beim Bleichen nicht in der Helligkeit verändert, sodass diese nach dem Bleichen des Zahnes meistens unschön hervortreten. Meistens müssen die Füllungen dann dieserhalb noch ausgetauscht und an die neue Zahnfarbe angepasst werden. Solche rein kosmetischen Erneuerungen fallen jedoch nicht unter den Leistungsumfang von Krankenversicherungen. Vor dem Bleichen vorhandene und bereits undichte Füllungen müssen zunächst ausgetauscht werden, damit das innen eingelegte Bleichmittel nicht durch die Spalten nach außen dringen kann. Sie sehen, alte Füllungen können das Bleichen sehr erschweren.
Bei extrem dunklen Verfärbungen, die großflächig schon fast zum Schwarz tendieren, ist die Erfolgsaussicht eher klein. Hier wird man durch das Bleichen zwar auch eine Verbesserung erreichen können, die jedoch wahrscheinlich deutlich hinter den Erwartungen des Patienten bleiben wird.
Wie ist der Ablauf des internen Bleachings?
Zunächst wird die Füllung entfernt, welche früher nach der Wurzelfüllung in den Zahn eingebracht wurde. Aus den Kanaleingängen wird das Wurzelfüllmaterial ca. 3mm tief ebenfalls entfernt. In die Kanaleingänge bringen wir nun einen dichten Verschluss mit verklebtem Kunststoff ein. Diese Abdichtung ist unbedingt notwendig, damit das Bleichmittel nicht durch den gefüllten Wurzelkanal zum Knochen wandern und hier Schäden verursachen kann.
In den Hohlraum bringen wir dann das Bleichmittel ein und verschließen den Zahn dicht mit einer provisorischen Kunststoff-Füllung. So „geht“ der Patient dann aus der Praxis – daher der Name „walking“ Bleaching.
Nach etwa einer Woche schauen wir uns den Zahn wieder an und entscheiden gemeinsam mit dem Patienten, ob die Aufhellung schon ausreichend ist. Gegebenenfalls erneuern wir die Bleicheinlage und warten erneut eine Woche das Ergebnis ab.
Ist die gewünschte Aufhellung erreicht, wird eine letzte Einlage zur Neutralisation des Bleichmittels für ein paar Tage eingebracht. Dann erfolgt die abschließende Füllung des Hohlraumes mit zahnfarbenem Kunststoff.
Die gesamte Behandlung ist absolut schmerzfrei und es wird auch keine Betäubung benötigt.
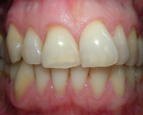
Wie groß ist der Unterschied zwischen einem behandelten und unbehandelten Zahn?
Das Ergebnis orientiert sich an den Nachbarzähnen. Wie weiter oben bereits erwähnt, gibt es keine weißen Zähne, sondern viele Nuancen darunter. Allerdings sieht nach einer Bleaching-Behandlung der wurzelbehandelte Zahn deutlich heller aus als vorher und fügt sich wieder harmonisch in die Zahnreihe ein. Er fällt somit nach der Behandlung optisch meistens gar nicht mehr auf.
Die Dauer der Behandlung richtet sich nach dem erforderten Helligkeitsgrad und ist individuell von Patient zu Patient unterschiedlich.
Selten kann es vorkommen, dass die Farbstoffe nicht im gewünschten Umfang neutralisiert werden können und der Zahn trotz mehrfacher Einlagen nicht mehr heller wird. Eine Verbesserung gegenüber der Ausgangssituation haben wir bisher aber in jeden Fall erreichen können.
Vorher
Nachher
Ist das interne Bleaching schädlich?
Nein – unter den bereits genannten Voraussetzungen entstehen keine Schäden.
Siehe hierzu auch die Stellungnahme der DGZMK
Was kostet das interne Bleaching?
Die Kosten für das Bleaching übernimmt leider keine Krankenversicherung und sind daher komplett selbst zu tragen.
Die Berechnung erfolgt nach der amtlichen Gebührenordnung GOZ und die Höhe richtet sich nach den im Einzelfall vorliegenden Gegebenheiten. In den meisten Fällen liegt der Preis für das interne Bleaching bei uns in etwa bei 200,- Euro.
2. Externes Bleichen
Beim externen Bleaching handelt es sich um unterschiedliche Zahnaufhellungsverfahren, wobei die Bleichmittel „extern“ – das heißt, von außen, auf die Zähne aufgebracht werden.
Dabei werden die in den oberen Zahnschmelzschichten eingelagerten Farbstoffe chemisch in farblose Reaktionsprodukte umgewandelt und die Zähne werden heller.
Auf der Zahnoberfläche aufliegende Verfärbungen durch Genussmittel wie Zigaretten, Kaffee, Rotwein oder Tee, aber auch Medikamente wie Chlorhexidin müssen zuvor bei einer professionellen Zahnreinigung entfernt werden. In einigen Fällen reicht den Patienten die hiermit erzeugte Farbveränderung sogar bereits aus.
Unsere SOLO-Prophylaxe-Patienten haben in der Regel schon perfekt saubere Zähne, sodass hier keine zusätzliche Zahnreinigung erforderlich ist.
Wichtig: Zahnersatzmaterialien wie Kunststoffe, Keramiken, Metalle und Amalgam können durch das Bleichen NICHT aufgehellt werden. Füllungen und Kronen bleiben also unverändert. Sind solche Materialien im sichtbaren Bereich vorhanden muss also abgewogen werden, ob das Bleichen im vorliegenden Fall überhaupt Sinn macht.
Eventuell müssten die Restaurationen nach dem Bleichen ausgetauscht und in der Farbe an die nun helleren Zähne angepasst werden. Auch ist vor dem Bleichen abzuklären, ob alle Kronen- und Füllungsränder dicht sind. Wenn hier das Bleichmittel in Spalten vordringt, kann es zu erheblichen Schmerzen und Entzündungen des Zahnmarks kommen.
Im Zahnschmelz vorhandene Flecken, also strukturelle scharf abgegrenzte Farbunterschiede innerhalb einer Zahnfläche werden auch nach dem Bleichen weiterhin vorhanden sein.
Das Bleaching selbst kann auf unterschiedliche Arten erfolgen:
- Mittels in der Praxis individuell angefertigter Bleich-Schienen, Anwendung zu Hause
- Frei aufgetragenes Bleichmittel, Anwendung in der Praxis
- Licht- oder Laser-aktiviertes Bleichmittel, Anwendung in der Praxis
- Frei verkäufliche Bleichmittel, gegebenenfalls mit Schienenmaterial
Häusliches Bleaching mit individueller Schiene
Wir empfehlen das häusliche Bleaching und fertigen dafür je Kiefer eine individuelle Bleichschiene für den Patienten an. Diese ist aus einem sehr weichen und angenehm zu tragenden Kunststoff gemacht und hat eingebaute Hohlräume, welche das Bleichmittel nur an den gewünschten Stellen in Kontakt mit der Zahnoberfläche halten.
Am Zahnfleischrand schließt die Schiene dicht an und verhindert so unerwünschte Auswirkungen auf das angrenzende Zahnfleisch.
Die Schienen nimmt der Patient mit nach Hause, wo er sie zu einem ihm passenden Zeitpunkt, zum Beispiel vor dem Fernseher oder beim Lesen eines Buches, mit Bleichgel füllt und auf die Zahnreihe aufsetzt.
Nach etwa einer Stunde werden die Schiene entnommen und der Mund sowie die Schiene einfach mit Wasser ausgespült. Diese Anwendung kann der Patient einmal pro Tag so oft wiederholen, wie er möchte. In den allermeisten Fällen ist nach zwei bis 3 Wochen das gewünschte Ergebnis erreicht worden.
Unsere Entscheidung für das Schienen-Bleichverfahren haben wir aus folgenden Gründen getroffen:
- Die Schienen passen über einen langen Zeitraum, solange keine größeren Veränderungen an den Zähnen erfolgen. Selbst nach Austausch kleiner Füllungen passen die Schienen noch. Der Patient kann also über einen langen Zeitraum immer wieder selbst nachbleichen und benötigt dann nur noch neues Bleichmittel, welches er sehr preisgünstig bei uns erwerben kann.
- Der Patient kann selbst bestimmen, wie oft und in welchen Abständen er Bleichanwendungen durchführt.
- Das Zahnfleisch wird durch die Bauart der Schienen gut geschützt und nicht geschädigt.
- Die Anwendung der Schienen ist sehr einfach, man kann praktisch nichts falsch machen.
- Falls die Zähne während der Bleichphasen empfindlich werden – was passieren kann – ist es völlig unproblematisch, ein paar Tage, bis zum Abklingen der Empfindlichkeiten auszusetzen und dann einfach weiter zu machen.
- Die Menge an verbrauchtem Bleichgel wird durch die Schienenapplikation gering gehalten, was Kosten und Risiken senkt.
Die Risiken der anderen, oben aufgeführten Methoden sind aus unserer Sicht:
- Sie sind teilweise recht teuer,
- können in der Anwendungsdauer und –Häufigkeit schlecht individuell variiert werden,
- müssen bei Anwendung in der Praxis auch trotz auftretender Schmerzen zu Ende durchgeführt werden (Lampen-Dongle verfallen bei der Anwendung)
- oder sie sind sehr aufwändig in der Durchführung.
Frei verkäufliche Materialien sind in der Dosierung häufig sehr schwach und haben geringe Bleicheffekte. Die dabei mitgelieferten Schienenmaterialien sind für den Laien kaum korrekt zu verwenden und bieten formbedingt keinen Schutz für das Zahnfleisch.
Auch fehlen hier die obligatorische Voruntersuchung mit Ausschluss von Risikofaktoren sowie die gegebenenfalls eigentlich erforderliche professionelle Zahnreinigung vor der Anwendung der Bleichmittel.
Wie sind die Ergebnisse des Schienen- Bleachings?
Wir klären unsere Patienten ganz offen beim Beratungsgespräch darüber auf, dass es nicht zu einer extremen Aufhellung kommen wird. Realistisch ist das Erreichen einer helleren Stufe im Vita-Farbsystem, also z.B. von A3 auf A2. Das sieht man deutlich!
Hersteller von Bleichmitteln geben gerne an, dass einige Helligkeitsstufen erreicht werden können, jedoch beziehen sich diese dann meist auf eigene Helligkeits-Skalen, die in viel kleineren Stufen aufgeteilt sind.
Je dunkler die Ausgangsfarbe ist, umso stärker wird das Resultat sichtbar sein.
Erklärung: je heller ein Zahn ohnehin schon ist, umso weniger Farbstoffe können vom Bleichmittel neutralisiert werden. Oder anders herum: sind viele Farbstoffe vorhanden, dann kann das Bleichmittel auch richtig viel bewirken.
Die Zähne wirken sauberer, heller, strahlender. Und das ist ja der Hauptgrund, weshalb viele unserer Patienten ein externes Bleaching möchten.
Ist das Schienen-Bleaching schädlich?
Bei korrekter Herstellung der Schienen sind Zahnfleischprobleme ausgeschlossen. Kurzzeitige Überempfindlichkeiten der Zähne können auftreten, verschwinden aber nach Absetzen beziehungsweise Unterbrechung der Bleichmaßnahme auch innerhalb weniger Tage wieder.
Direkt nach der Einwirkung des Bleichgels ist die Oberflächenhärte des Zahnschmelzes etwas vermindert. Deshalb sollten die Zähne nach dem Herausnehmen der Schiene nicht sofort geputzt werden – Ausspülen mit Wasser ist ausreichend.
Bei sachgemäßer Anwendung unter zahnärztlicher Anleitung sind keine Schäden zu erwarten.
Siehe hierzu auch die Stellungnahme der DGZMK.
Was kostet das Bleichen mit individuell angefertigten Schienen?
Die Kosten für das Bleaching übernimmt keine Krankenversicherung und sind daher komplett selbst zu tragen.
Die Berechnung erfolgt nach der amtlichen Gebührenordnung GOZ und die Höhe richtet sich nach den im Einzelfall vorliegenden Gegebenheiten. In den meisten Fällen liegt der Preis für das Schienen-Bleaching von Ober- und Unterkiefer zusammen bei uns in etwa bei 300,- Euro. Der Preis für nachgekauftes Bleichmaterial hängt vom jeweiligen aktuellen Marktpreis des Produktes ab und bewegt sich in der Größenordnung um 20,- Euro herum.





Martin Weinbrenner, People Fotografie
Andreas Hager